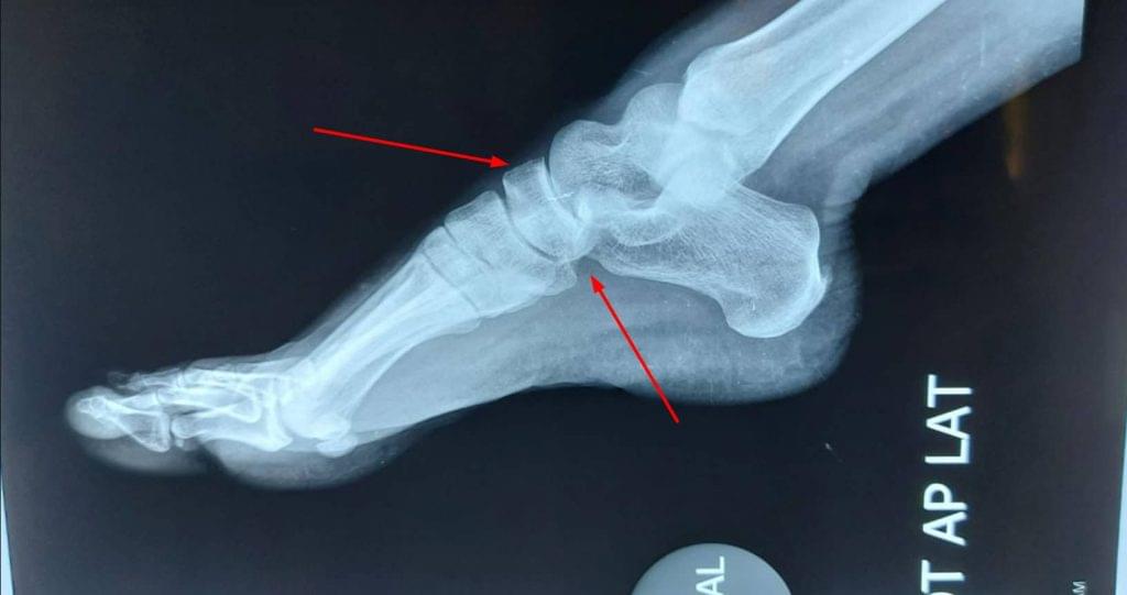
What is Talonavicular Joint Pain Treatment
Talonavicular joint pain treatment: Talonavicular joint is part of a 3 joint complex in the foot which all work together for smooth mobilization of the foot and walking. Damage to one joint or bone can affect other joints and disturb walking and create chronic pain and swelling.

The other 2 joints in this complex are the subtalar joint and calcaneocuboid joint.
Diseases of the Talonavicular joint can be due to injury such as fall, accident, twisting of the foot which cause fracture of the navicular bone and if not treated in time, lead to chronic pain and arthritis.
Inflammation in the body like Rheumatoid arthritis and high Uric acid levels can also affect the Talonavicular joint and make your walking difficult. Infection such as TB has also been found to disturb foot joints.
Common Problems of Talonavicular joint pain
Another common problem is wear and tear in the bones leading to Arthritis of the Talonavicular joint. Other rare conditions such as avascular necrosis of Talus or Navicular bone, stress fracture, tumor, and unknown infections can also affect this joint complex.

Treatment of Talonavicular joint pain and other conditions starts with finding the reason for your symptoms and then a personal treatment plan is made to cure your to cure your specific symptoms.
At Bestcare.pk , our best orthopedic doctor in Lahore, Dr Muhammad Bilal has specialist training in Foot and Ankle conditions at Buckinghamshire NHS trust UK and we treat such cases on regular basis. We aim to deliver our patients with an accurate diagnosis, best treatment plan and return back to your normal life as soon as possible. If you are suffering from any problems in your foot and ankle, please contact our best orthopedic doctor and surgeon in Lahore, Dr. Muhammad Bilal. We will be happy to help you.